В Минздраве Алтайского края рассказали, как благодаря плановому рентгеновскому обследованию удалось предотвратить тяжёлые последствия серьёзного заболевания у жителя Барнаула.
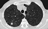
Барнаулец 1962 года рождения обратился в Алтайский краевой противотуберкулёзный диспансер с результатами планового рентгеновского обследования. На цифровой флюорографии был зафиксирован единичный небольшой очаг. На прошлогоднем снимке его не было.
«Несмотря на отсутствие сопутствующих заболеваний, насторожило длительное курение пациента. Он признался, что курит с 16 лет, в последнее время по 2 пачки сигарет в день», — рассказал главный врач медучреждения Олег Войтов.
Чтобы уточнить диагноз, пациенту провели необходимые исследования, включая компьютерную томографию лёгких, бронхоскопию и современный тест на туберкулёз — ТиграТест. По итогам обследования медики приняли решение о хирургическом удалении небольшого участка лёгкого.
По результатам гистологического исследования мужчине был поставлен диагноз «туберкулез лёгких». Ему назначили лечение, пояснили в Министерстве здравоохранения Алтайского края.
«Этот случай демонстрирует, что даже при отсутствии явных признаков активного туберкулёза важно проводить тщательную диагностику и учитывать все возможные варианты», — подчеркнул Олег Войтов.
Фото обложки: cookie_studio/ru.freepik.com.

